Понятный план и стоимость до начала лечения
На консультации важно не просто услышать общий диагноз, а понять, какой путь лечения подходит именно вам, сколько этапов предстоит и к какому результату мы идём.
Ортопедическое лечение на зубах и имплантатах с точной диагностикой и предсказуемым результатом.
Когда речь идёт о тотальной реабилитации, человеку важны не только новые зубы. Важно понимать, что будет дальше, сколько этапов предстоит, как всё будет выглядеть и кто отвечает за результат.
На консультации важно не просто услышать общий диагноз, а понять, какой путь лечения подходит именно вам, сколько этапов предстоит и к какому результату мы идём.
Полное отсутствие зубов, старые неудобные конструкции, выраженное разрушение зубочелюстной системы — именно в таких ситуациях особенно важны опыт, точное планирование и внимание к деталям.
Важно не просто восстановить зубы, а сделать так, чтобы улыбка выглядела гармонично, подходила к лицу, речи и привычному образу жизни.
Пациенту спокойнее, когда его случай ведётся последовательно: от диагностики и планирования до фиксации постоянной конструкции и контрольных осмотров.
Для пациентов с полным или почти полным отсутствием зубов, а также в ситуациях, когда оставшиеся зубы уже невозможно сохранить. Такой подход позволяет восстановить жевательную функцию, эстетику улыбки и уверенность в повседневной жизни.
Восстановление одного или нескольких зубов с опорой на имплантаты, когда важно вернуть надёжность, комфорт и естественный внешний вид.
Коронки, виниры, вкладки и другие ортопедические решения в тех случаях, когда зубы ещё можно сохранить и эстетично восстановить.
Функциональные решения для восстановления зубного ряда с учётом клинической ситуации, прикуса и привычного образа жизни пациента.
Осмотр, КТ и внутриротовое сканирование без слепков. Сразу видим полную картину и планируем результат.
Понятный пошаговый план, сроки и фиксированная стоимость лечения — без неожиданностей в процессе.
Подготавливаем полость рта к протезированию и фиксируем временные зубы, чтобы вы не оставались без улыбки.
Изготавливаем конструкцию по цифровым данным, согласовываем эстетику и фиксируем окончательный результат.
Рекомендации, контрольные осмотры и наблюдение, чтобы результат оставался стабильным и комфортным.
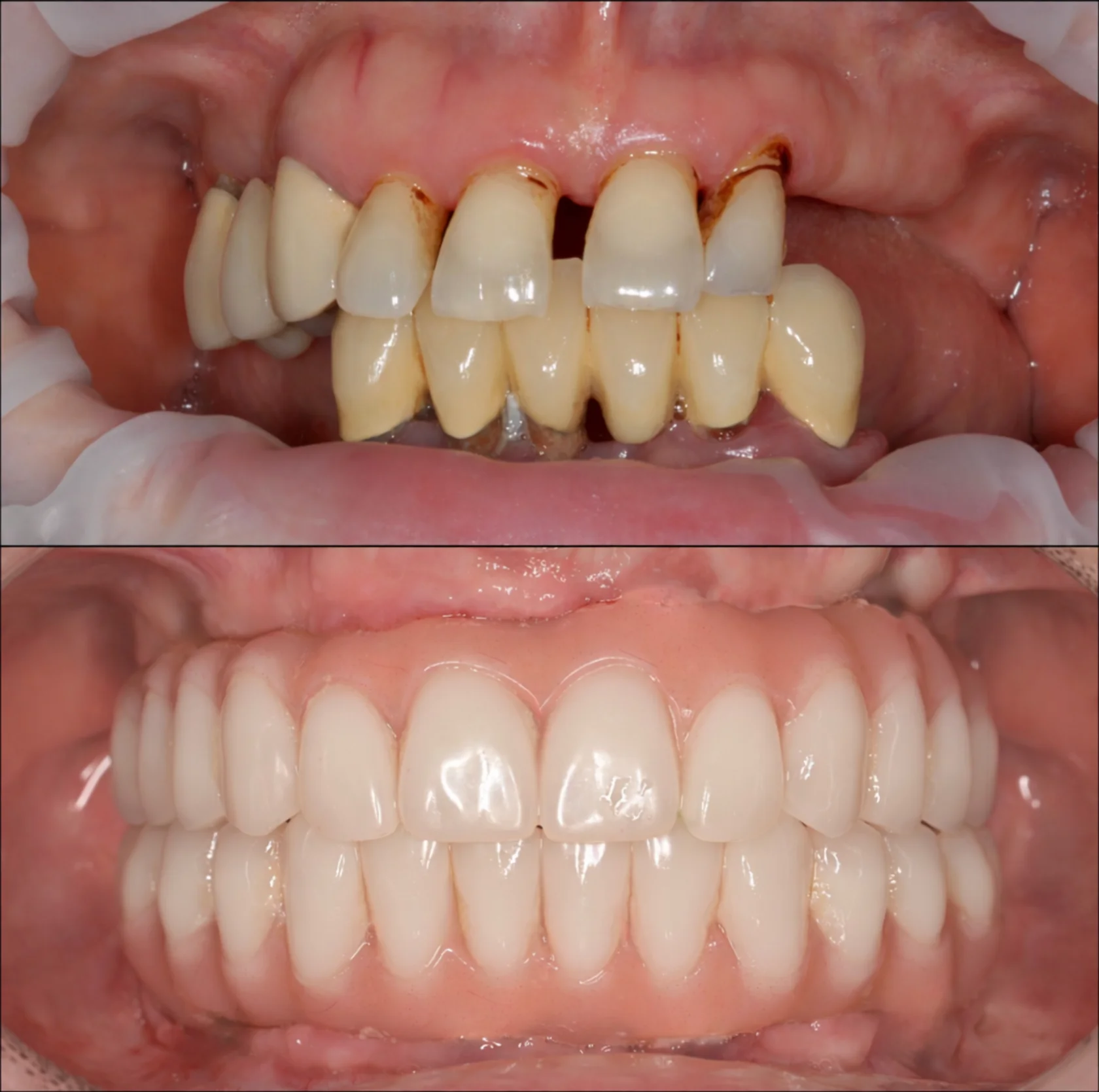
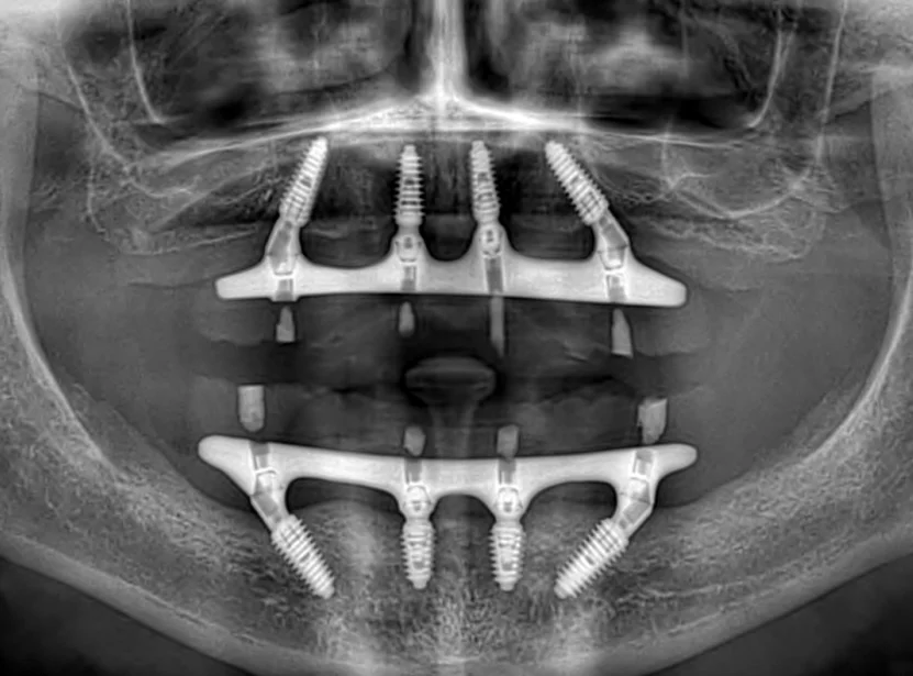
«Говорили, что это невозможно». Пациентка долго слышала, что в её ситуации полноценное восстановление зубов невозможно или потребует множества этапов и длительного лечения. Это останавливало её от решения проблемы на протяжении многих лет. Частичное отсутствие зубов на верхней и нижней челюсти требовало функционального и предсказуемого решения.
На консультации мы провели подробную диагностику и нашли варианты лечения. В итоге была выполнена тотальная реабилитация. В день операции установлены имплантаты и несъёмные конструкции.
Уже через 4 часа была восстановлена жевательная функция и anti-age-эффект за счёт правильной опоры мягких тканей.
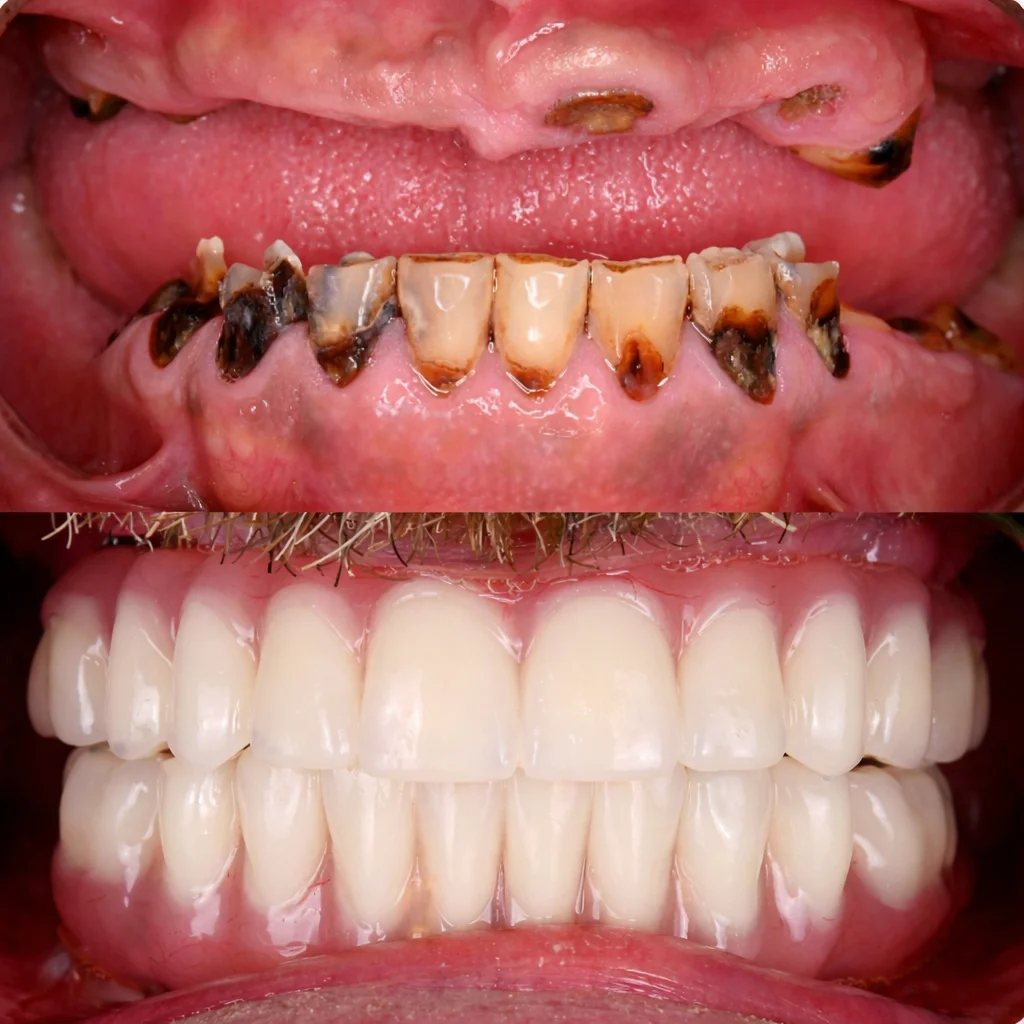
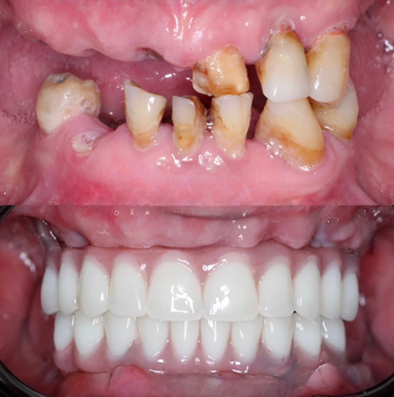
Долгое время пациентка стеснялась улыбаться и избегала фотографий из-за проблем с зубами и неудобных съёмных конструкций. Она откладывала лечение, считая, что восстановление будет долгим и тяжёлым. Отсутствие зубов на верхней и нижней челюсти требовало надёжного и долгосрочного решения.
На консультации мы подробно обсудили все варианты и выбрали современное и комфортное решение. Было выполнено полное восстановление зубных рядов по концепции All-on-6 с немедленной нагрузкой. В день операции установлены имплантаты и несъёмные протезы.
Сегодня пациентка улыбается уверенно, свободно общается и возвращается к привычной активной жизни без прежних ограничений.
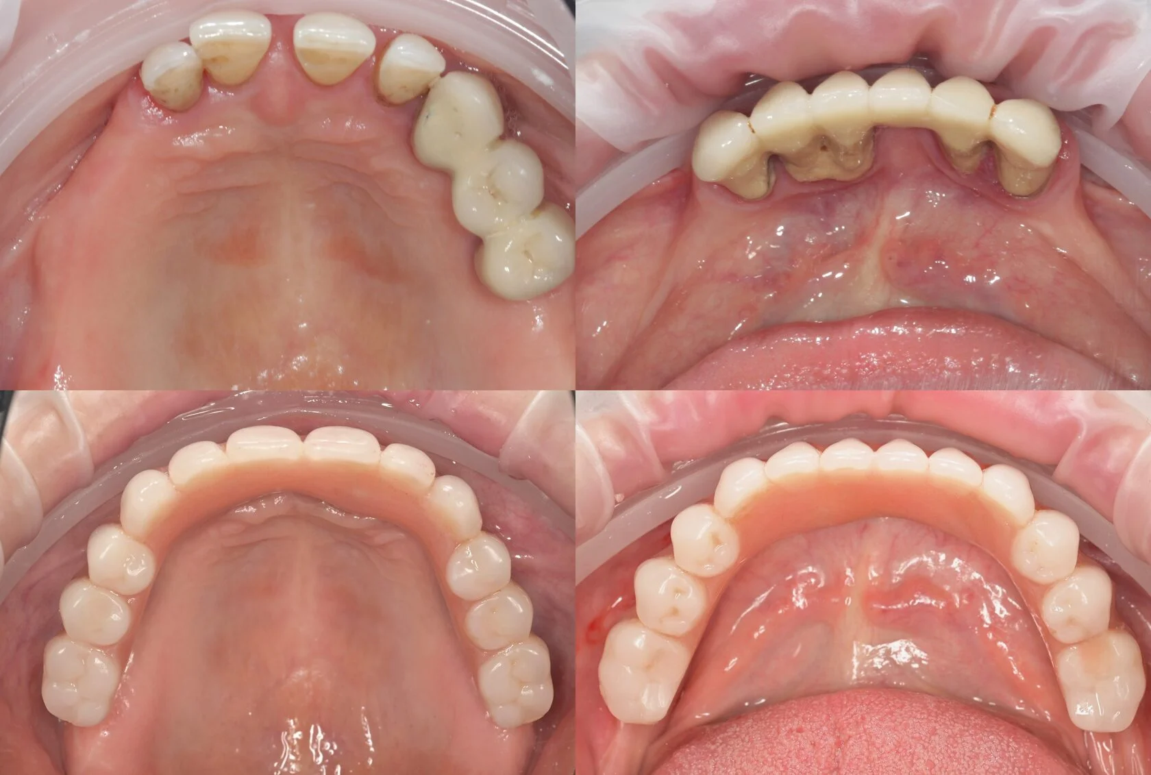
Пациент долго откладывал лечение, сомневаясь в необходимости серьёзного вмешательства и опасаясь сложной операции. Но со временем неудобства и ограничения в повседневной жизни, особенно во время приёма пищи, стали перевешивать сомнения.
На консультации мы подробно разобрали все этапы лечения, обсудили возможные риски и подобрали понятный и комфортный план. В итоге была проведена реабилитация верхней и нижней челюсти по концепции All-on-6 с немедленной нагрузкой. В день операции установлены имплантаты и несъёмные конструкции.
Сегодня пациент признаётся, что зря так долго сомневался — результат превзошёл его ожидания.
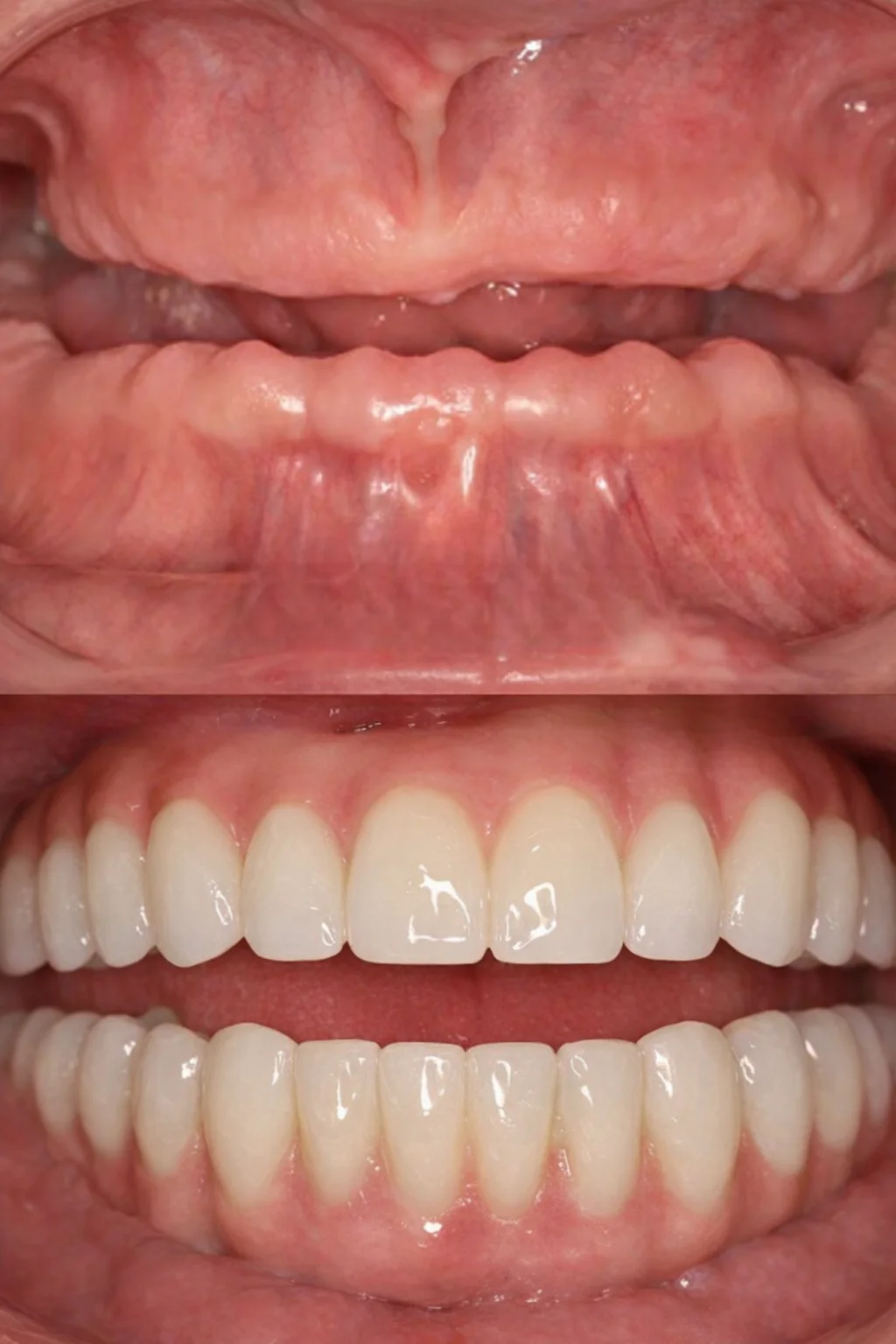
Долгие годы жил без полноценного зубного ряда из-за страха большой операции. На консультации всё очень подробно рассказали и убедили, что процесс будет комфортным и не вызовет неприятных эмоций.
Провели реабилитацию верхней и нижней челюсти по концепции All-on-4 с немедленной нагрузкой. В день операции установлены имплантаты и несъёмные протезы.
Теперь точно все страхи позади. Пациент улыбается уверенно и ест без ограничений.
Долгое время откладывал лечение, потому что боялся сложной операции и долгого восстановления. Жил с постоянным дискомфортом и ограничениями в питании, но не решался сделать первый шаг. Длительное отсутствие зубов на верхней и нижней челюсти привело к потере жевательной эффективности и опоры мягких тканей.
На консультации мы подробно разобрали все этапы лечения, ответили на все вопросы и подобрали комфортный и безопасный план. По протоколу All-on-4 на обеих челюстях установлены несъёмные конструкции.
Уже в день операции пациент получил новую улыбку. Обеспечена стабильность прикуса, полноценная функция и выраженное улучшение лицевых пропорций за счёт восстановления опоры тканей.
Можно отправить мне снимок, КТ или фото — я помогу понять ситуацию и подскажу возможный путь лечения.

Для меня важно не просто восстановить зубы, а выстроить понятный и предсказуемый путь лечения — от диагностики до финального результата.
Мой основной фокус — сложные ортопедические случаи, тотальные реабилитации и восстановление эстетики и функции улыбки. В такой работе особенно важны точная диагностика, цифровое планирование и внимание к деталям на каждом этапе.
Пациенту важно понимать, какой вариант лечения подходит именно ему, сколько этапов предстоит и к какому результату мы идём. Поэтому в своей практике я делаю акцент не только на качестве ортопедической работы, но и на спокойствии пациента в процессе лечения.
Результат должен быть естественным, функциональным и надёжным в повседневной жизни.
Если вы не понимаете, с чего начать, первый шаг — консультация и точная диагностика.